Translating Research into Action
TRACH advances research on communicable diseases and nutrition by translating scientific evidence into context-appropriate interventions for communities across Cameroon. Our work strengthens health outcomes for women and adolescents by ensuring evidence is accessible, actionable, and aligned with national priorities.
Evidence Translation Projects
Explore our research studies that generate actionable evidence for improving community health outcomes.
Background
Intermittent preventive treatment in pregnancy with sulfadoxine–pyrimethamine (IPTp-SP) is widely used to reduce malaria-related adverse pregnancy outcomes. Concerns about declining efficacy prompted an evaluation of coverage and effectiveness in the Mount Cameroon area.
Coverage Breakdown
Background
Malaria in pregnancy remains a major public health challenge in Cameroon. While intermittent preventive treatment with sulfadoxine–pyrimethamine (IPTp-SP) is widely used, growing resistance threatens its effectiveness. This project translates recent evidence on sub-microscopic parasitaemia and resistance mutations into practice-oriented insights.
Background
This research explores how malaria affects pregnancy by studying the maternal–fetal interface in fixed placental tissues collected from malaria-endemic areas. Using advanced histological and imaging techniques, we seek to understand how malaria parasites disrupts placental function, leading to complications such as maternal anaemia, low birth weight, and adverse neonatal outcomes. Ultimately, our findings aim to guide improved maternal health interventions and contribute to global efforts to reduce the burden of malaria in pregnancy.
Placental Malaria

Histological section of placental tissue, stained with hematoxylin and eosin (H&E) showing the maternal–foetal interface in a malaria-infected placenta. Infected red blood cells (iRBCs) with malaria pigment adhere to the syncytiotrophoblast layer, highlighting sequestration—a key feature of placental malaria.

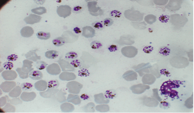
This image captures a placental blood smear revealing mature stages of Plasmodium falciparum. Using Giemsa staining, the parasites appear clearly within red blood cells, offering sharper detail than traditional tissue sections. Such visualization supports accurate diagnosis and staging of placental malaria, especially in maternal health research and interventions.

The placental blood smear highlights mature stages of Plasmodium falciparum, malaria pigment, and immune cell infiltration—hallmarks of chronic placental malaria. This condition is associated with adverse maternal and neonatal outcomes.
Background
Maternal anemia remains a pressing public health issue in the Mount Cameroon area, affecting nearly 41% of pregnant women. Anemia in pregnancy increases risks of maternal morbidity, poor birth outcomes, and infant mortality. While malaria and socio-demographic factors contribute, nutrient inadequacy and poor dietary diversity emerged as critical drivers.
Maternal Nutrition and Health in Mount Cameroon
Determinants of dietary intake and nutritional status during pregnancy
Background
Poor maternal nutritional status during pregnancy is a critical public health issue in the Mount Cameroon area. It contributes to adverse outcomes for both mothers and babies, including anaemia, underweight, and increased vulnerability to infections. Despite antenatal care programs, malnutrition remains widespread, driven by dietary inadequacy, food insecurity, and limited nutritional knowledge.
Background
Female genital schistosomiasis (FGS) is a neglected tropical disease linked to serious reproductive health complications, including infertility, chronic pain, and increased vulnerability to HIV. In endemic areas of southwest Cameroon, girls and women face a high risk of undiagnosed FGS due to limited diagnostic capacity and low awareness.